Bridge Pointe Orthodontics
Call Us Now:
732-321-3390
HOME
All About Orthodontics
About The Doctor
Information For New Patients
Before & After Photos
Payment & Insurance
Contact Us
Before & After Photos
Before & After Orthodontic Treatment
The following cases were all treated by Dr. Rong in her
Metuchen, New Jersey
office.
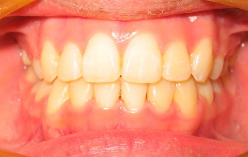
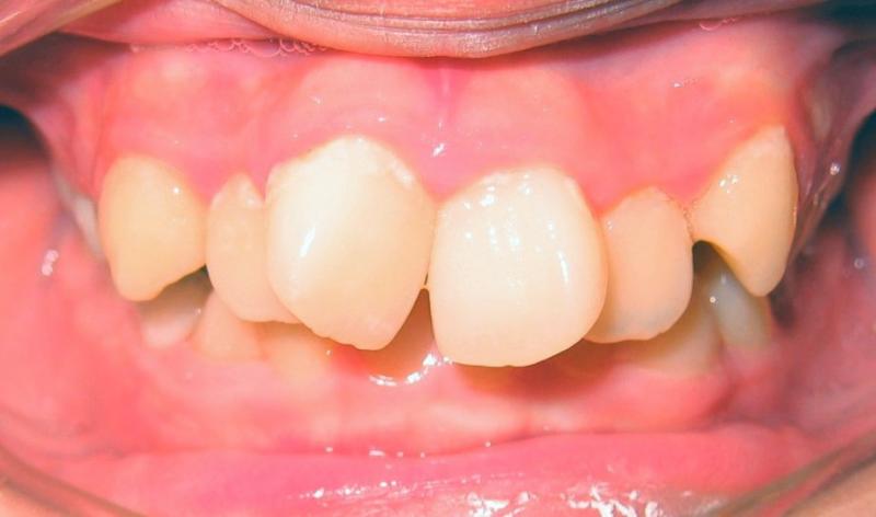
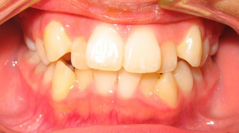
BEFORE: SEVERE CROWDING
Button
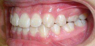
AFTER
Button
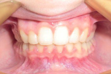
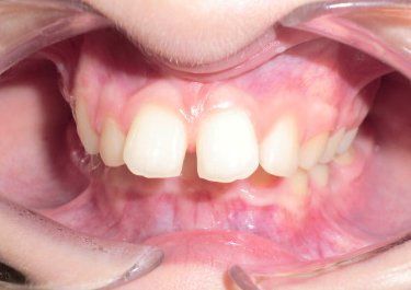
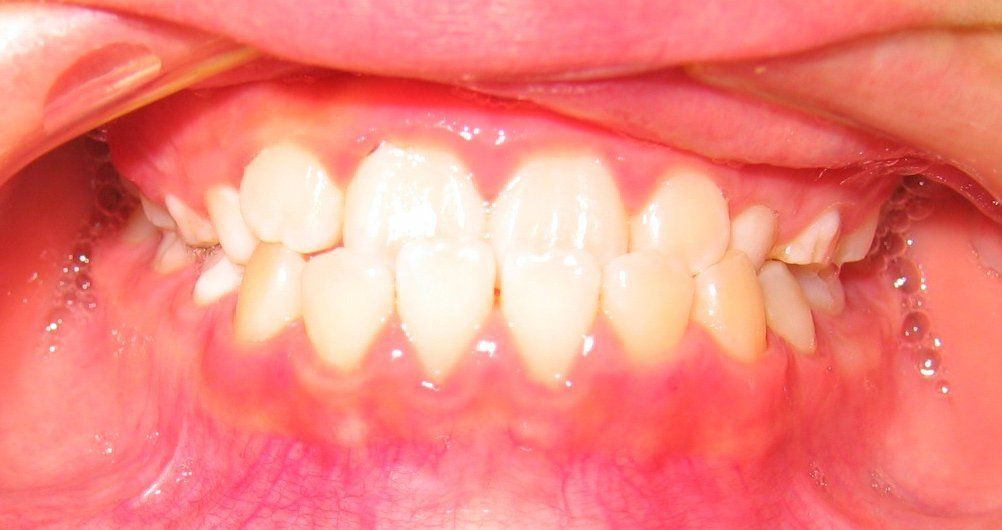
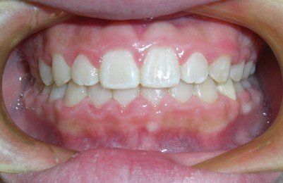
BEFORE: SEVERE CROWDING/DEEP BITE
Button
AFTER
Button
BEFORE: ANTERIOR CROSSBITE (UNDERBITE)
Button
AFTER
Button
BEFORE: CONCAVE PROFILE
Button
AFTER: STRAIGHT PROFILE
Button
BEFORE: OVERJET/OVERBITE
Button
AFTER
Button
BEFORE:UNDERBITE
Button
AFTER
Button
Contact Information
Phone :
732-321-3390
Fax : 732-321-3392
Address: 203 Bridge St., Bldg. D, Metuchen , NJ 08840
Business Hours :
Monday
1:00 pm
-
6:00 pm
Tue, Thu
Closed
Wednesday
10:00 am
-
6:00 pm
Friday
12:00 pm
-
5:00 pm
Saturday
9:00 am
-
5:00 pm
Sunday
Closed
Our Location
Browse Our Website
HOME
All About Orthodontics
About The Doctor
Information For New Patients
Before & After Photos
Payment & Insurance
Contact Us
Contact Information
Phone :
732-321-3390
Fax : 732-321-3392
Address: 203 Bridge St., Bldg. D, Metuchen , NJ 08840
Business Hours :
Monday
1:00 pm
-
6:00 pm
Tue, Thu
Closed
Wednesday
10:00 am
-
6:00 pm
Friday
12:00 pm
-
5:00 pm
Saturday
9:00 am
-
5:00 pm
Sunday
Closed
Our Location
Content, including images, displayed on this website is protected by copyright laws. Downloading, republication, retransmission or reproduction of content on this website is strictly prohibited.
Terms of Use
|
Privacy Policy
Share by: